34
C
a
r
ac
te
r
i
z
ac
ión
de
l
a
mi
c
r
obiot
a
v
ag
in
a
l
en
muje
r
e
s
c
on
le
s
ione
s
p
r
odu
c
id
a
s
po
r
el
vi
r
u
s
del
p
a
pilom
a
hum
a
no
.
By
PC
2020;84(2):34
-
42
.
Int
r
odu
c
tion
:
the
v
ag
in
a
l
mi
c
r
obiot
a
i
s
a
s
y
s
tem
of
mi
c
r
oo
r
ga
ni
s
m
s
in
equilib
r
ium
,
w
hi
c
h
v
a
r
ie
s
f
r
om
bith
(
p
r
edomin
a
ntl
y
l
ac
tob
ac
illi
)
to
men
a
r
c
he
(
inte
r
medi
a
te
mi
c
r
obiot
a
,
s
k
in
a
nd
inte
s
tine
b
ac
te
r
i
a)
.
It
i
s
k
no
w
n
th
a
t
b
a
l
a
n
c
ed
v
ag
in
a
l
mi
c
r
obiome
ca
n
p
r
event
lo
w
e
r
g
enit
a
l
t
r
ac
t
infe
c
tion
s
;
the
l
ack
of
l
ac
tob
ac
illu
s
f
a
vo
r
s
the
development
of
b
ac
te
r
i
a
l
v
ag
ino
s
i
s
(BV) a
nd
s
exu
a
ll
y
t
r
a
n
s
mitted
infe
c
tion
s
,
s
u
c
h
a
s
hum
a
n
p
a
pillom
a
-
vi
r
u
s
(
HP
V)
.
O
bje
c
tive
s
:
T
o
ev
a
lu
a
te
the
v
ag
in
a
l
d
y
s
fun
c
tion
th
r
ou
g
h
the
b
a
s
i
c
v
ag
in
a
l
s
t
a
te
s
(BVS)
b
y
the
Ba
l
a
n
c
e
of
the
Vag
in
a
l
Content
(BAVA
C
O)
methodolo
gy a
nd
to
c
h
a
r
ac
te
r
i
z
e
the
l
ac
tob
ac
ill
a
r
mi
c
r
obiot
a
in
p
a
-
tient
s
w
ith
hi
g
h
-
a
nd
lo
w-
g
r
a
de
s
qu
a
mou
s
int
r
a
epitheli
a
l
le
s
ion
s
(
H
S
I
L
a
nd
L
S
I
L
r
e
s
pe
c
tivel
y)
due
to
hum
a
n
C
a
r
ac
te
r
i
z
ac
ión
de
l
a
mi
c
r
obiot
a
v
ag
in
a
l
en
muje
r
e
s
c
on
le
s
ione
s
p
r
odu
c
id
a
s
po
r
el
vi
r
u
s
del
p
a
pilom
a
hum
a
no
.
Re
s
umenInt
r
odu
cc
ión
:
l
a
mi
c
r
obiot
a
v
ag
in
a
l
e
s
un
s
i
s
tem
a
de
mi
c
r
oo
r
ga
ni
s
mo
s
en
equilib
r
io
,
que
v
a
r
í
a
de
s
de
el
n
a
-
c
imiento
(
p
r
edominio
l
ac
tob
ac
ilo
s
)
h
a
s
t
a
l
a
men
a
r
ca (
mi
c
r
obiot
a
inte
r
medi
a
,
b
ac
te
r
i
a
s
de
piel
e
inte
s
tino
)
.
E
s
c
ono
c
ido
que
mi
c
r
obiom
a
v
ag
in
a
l
b
a
l
a
n
c
e
a
do
puede
p
r
eveni
r
l
a
s
infe
cc
ione
s
del
t
r
ac
to
g
enit
a
l
infe
r
io
r
;
l
a
f
a
lt
a
de
l
ac
tob
ac
ilo
s
f
a
vo
r
e
c
e
el
de
s
a
rr
ollo
de
v
ag
ino
s
i
s
b
ac
te
r
i
a
n
a (VB)
e
infe
cc
ione
s
de
t
r
a
n
s
mi
s
ión
s
e
-
xu
a
l
,
c
omo
el
vi
r
u
s
del
p
a
pilom
a
hum
a
no
(V
PH
)
.
O
bjetivo
s
:
ev
a
lu
a
r
l
a
di
s
fun
c
ión
v
ag
in
a
l
medi
a
nte
lo
s
e
s
t
a
do
s
v
ag
in
a
le
s
b
á
s
i
c
o
s
(EVB) y ca
r
ac
te
r
i
z
a
r
l
a
mi
c
r
obiot
a
l
ac
tob
ac
il
a
r
en
p
ac
iente
s
c
on
le
s
ione
s
int
r
a
epiteli
a
le
s
e
s
ca
mo
s
a
s
de
a
lto
(
H
S
I
L
) y
b
a
jo
g
r
a
do
(
L
S
I
L
)
po
r
V
PH
,
en
c
omp
a
r
ac
ión
c
on
un
g
r
upo
c
ont
r
ol
.
Ma
te
r
i
a
le
s
y
método
s
:
e
s
tudio
c
on
s
e
c
utivo
,
p
r
o
s
pe
c
tivo
,
t
r
a
n
s
ve
r
s
a
l
.
S
e
ex
a
min
a
r
on
p
ac
iente
s
de
ent
r
e
18 y 50 a
ño
s
,
c
on
ini
c
io
de
r
el
ac
ione
s
s
exu
a
le
s
.
S
e
r
e
a
li
z
ó
ex
a
men
c
líni
c
o
y
s
e
tomó
hi
s
op
a
do
de
fondo
de
s
ac
o
v
ag
in
a
l
p
a
r
a
e
s
-
tudi
a
r
EVB
medi
a
nte
BA
C
OVA y c
ultivo
.
S
e
identi
fica
r
on
l
a
s
e
s
pe
c
ie
s
de
L
a
c
toba
c
illu
s
medi
a
nte
e
s
pe
c
t
r
ome
-
t
r
í
a
de
m
a
s
a
.
Re
s
ult
a
do
s
:
s
e
a
n
a
li
z
a
r
on
760
p
ac
iente
s
,
g
r
upo
1 (
n
=175
,
18 a 24 a
ño
s
) y g
r
upo
2 (
n
=585
,
25
a 50 a
ño
s
)
.
L
a
p
r
ev
a
len
c
i
a
de
s
b
a
l
a
n
c
e
del
c
ontenido
v
ag
in
a
l
fue
: g
r
upo
1 c
ont
r
ol
37
,
9 % (50/132)
,
L
S
I
L
56
,
7
% (17/30
,
p
=0
,
047) y
H
S
I
L
66
,
7 % (8/12
,
p
=0
,
05); y g
r
upo
2: c
ont
r
ol
39
,
4 % (196/498)
,
L
S
I
L
50
,
0 % (23/46
,
p
=0
,
21) y
H
S
I
L
48
,
6 % (18/37
,
p
=0
,
17)
.
L
a
v
ag
ino
s
i
s
m
á
s
p
r
ev
a
lente
fue
l
a
b
ac
te
r
i
a
n
a
en
a
mbo
s
g
r
upo
s
(
p
<
0
,
001)
,
g
r
upo
1: c
ont
r
ol
35
,
6 %;
L
S
I
L
46
,
7 %
,
H
S
I
L
58
,
3 % y g
r
upo
2: c
ont
r
ol
32
,
5 %;
L
S
I
L
47
,
8 %
,
H
S
I
L
43
,
2 %
.
L
a
s
p
ac
iente
s
H
S
I
L
tuvie
r
on
p
r
ev
a
len
c
i
a
de
21
,
4 %
de
L
a
c
toba
c
illu
s
c
r
i
s
patu
s
y 46
,
2 %
de
L
a
c
toba
c
illu
s
j
en
s
en
ii
.
Con
c
lu
s
ione
s
:
s
e
ob
s
e
r
vó
m
ay
o
r
de
s
b
a
l
a
n
c
e
v
ag
in
a
l
en
el
g
r
upo
H
S
I
L
,
c
on
b
a
j
a
p
r
ev
a
len
c
i
a
de
L
.
c
r
i
s
patu
s
(
e
s
pe
c
ie
p
r
ote
c
to
r
a)
e
in
c
r
emento
de
L
.
j
en
s
en
ii
(c
on
meno
r
r
ol
p
r
ote
c
to
r
de
l
a
di
s
fun
c
ión
v
ag
in
a
l
)
.
E
s
impo
r-
t
a
nte
ca
r
ac
te
r
i
z
a
r
l
a
s
e
s
pe
c
ie
s
de
L
a
c
toba
c
illu
s
,
d
a
do
que
el
in
c
r
emento
de
e
s
pe
c
ie
s
no
p
r
ote
c
to
r
a
s
en
e
s
te
g
r
upo
de
p
ac
iente
s
a
lte
r
a
n
el
mi
c
r
o
a
mbiente
v
ag
in
a
l
y ac
tú
a
n
c
omo
poten
c
i
a
le
s
c
of
ac
to
r
e
s
en
l
a
pe
r
s
i
s
ten
c
i
a
de
l
a
infe
cc
ión
po
r
V
PH
e
in
c
r
ement
a
n
el
r
ie
s
g
o
de
a
dqui
r
i
r
ot
r
a
s
infe
cc
ione
s
de
t
r
a
n
s
mi
s
ión
s
exu
a
l
.
Palab
r
a
s
c
lave
:
di
s
fun
c
ión
v
ag
in
a
l
,
e
s
t
a
do
s
v
ag
in
a
le
s
b
á
s
i
c
o
s
,
e
s
pe
c
ie
s
de
l
ac
tob
ac
ilo
s
,
vi
r
u
s
del
P
a
pilom
a
Hum
a
no
.
A
b
s
t
r
a
c
t
A
R
T
ÍC
U
L
O O
RI
G
I
N
A
L
Pe
r
a
zz
i
,
B
e
a
t
r
i
z
E
li
z
a
beth
1
*
;
P
aya
lef
,
Sa
nd
r
a
Noemi
1
;
G
ome
z
Che
r
e
y
,
Fac
undo
2
;
Re
y
e
s
,
A
n
a
P
a
ul
a
1
;
G
u
r
idi
,
L
u
c
i
a
2
;
L
o
s
a
d
a
,
M
i
r
t
a
1
; B
l
a
n
c
o
,
A
n
a
lí
a
2
;
C
a
r
u
s
o
,
Ri
ca
r
do
2
;
Co
r
a E
li
s
eht
,
Ma
r
th
a
2
; S
u
s
u
k
i
,
V
e
r
óni
ca
2
;
T
ini
r
ello
,
Ma
r
í
a
de
lo
s
Á
n
g
ele
s
2
;
C
a
r
din
a
l
,
L
u
c
í
a
3
; Ma
ldon
a
do
,
V
e
r
óni
ca
2
; F
leide
r,
L
a
u
r
a
2
; Vay
,
C
a
r
lo
s
1
;
D
i
a
z
,
L
ili
3
; Fa
mi
g
lietti
,
A
n
g
el
a
1
;
T
a
tti
,
S
ilvio
2
.
1
L
a
bo
r
a
to
r
io
de
Bac
te
r
iolo
g
í
a
Clíni
ca
,
D
ep
a
r
t
a
mento
de
B
ioquími
ca
Clíni
ca
,
Ho
s
pit
a
l
de
Clíni
ca
s
,
Fac
ult
a
d
de
Fa
r
m
ac
i
a y B
ioquími
ca
,
In
s
tituto
de
F
i
s
iop
a
tolo
g
í
a y B
ioquími
ca
Clíni
ca (
IN
F
I
B
I
O
C
)
,
U
nive
r
s
id
a
d
de
B
ueno
s
A
i
r
e
s
.
Ciud
a
d
A
utónom
a
de
B
ueno
s
A
i
r
e
s
,
A
r
g
entin
a
.
2
P
r
o
g
r
a
m
a
de
D
i
ag
nó
s
ti
c
o
,
T
e
r
a
péuti
ca y Vac
un
ac
ión
del
Tr
ac
to
G
enit
a
l
Infe
r
io
r,
D
ivi
s
ión
G
ine
c
olo
g
í
a y O
b
s
tet
r
i
c
i
a
,
Ho
s
pit
a
l
de
Clíni
ca
s
,
U
nive
r
s
id
a
d
de
B
ueno
s
A
i
r
e
s
.
Ciud
a
d
A
utónom
a
de
B
ueno
s
A
i
r
e
s
,
A
r
g
entin
a
.
3
D
ivi
s
ión
P
a
tolo
g
í
a
G
ine
c
oló
g
i
ca
,
D
ep
a
r
t
a
mento
de
A
n
a
tomí
a
P
a
toló
g
i
ca
,
Ho
s
pit
a
l
de
Clíni
ca
s
,
U
nive
r
s
id
a
d
de
B
ueno
s
A
i
r
e
s
.
Ciud
a
d
A
utó
-
nom
a
de
B
ueno
s
A
i
r
e
s
,
A
r
g
entin
a
.
*
Cont
ac
to
:
Pe
r
a
zz
i
,
B
e
a
t
r
i
z
E
li
z
a
beth
,
Ho
s
pit
a
l
de
Clíni
ca
s
,
L
a
v
a
llej
a 2726 (
C
.
P
.
1824)
,
L
a
nú
s
O
e
s
te
.
B
ueno
s
A
i
r
e
s
,
A
r
g
entin
a;
be
a
t
r
i
z
pe
-
r
a
zz
i
@g
m
a
il
.
c
om
;
bpe
r
a
zz
i
@
ff
y
b
.
ub
a
.
a
r.
I
SS
N
1515
-
6761 E
d
.
Imp
r
e
s
a
I
SS
N
2250
-
5903 E
d
.
CD-
R
OM
Códi
g
o
B
iblio
g
r
áfic
o
:
R
By
PC
F
e
c
ha
de
r
e
c
ep
c
i
ó
n
:
30/08/2019
F
e
c
ha
de
a
c
epta
c
i
ó
n
:
13/11/2019
Ch
a
r
ac
te
r
i
z
a
tion
of
the
v
ag
in
a
l
mi
c
r
obiot
a
in
w
omen
w
ith
le
s
ion
s
ca
u
s
ed
b
y
the
Hum
a
n
P
a
pillom
a
vi
r
u
s
.
By
PC
2020;84(2):34
-
42
.
C
a
r
ac
te
r
i
z
ac
ión
de
l
a
mi
c
r
obiot
a
v
ag
in
a
l
en
muje
r
e
s
c
on
le
s
ione
s
35
p
r
odu
c
id
a
s
po
r
el
vi
r
u
s
del
p
a
pilom
a
hum
a
no
.
p
a
pillom
a
vi
r
u
s
(
HP
V) c
omp
a
r
ed
to
a c
ont
r
ol
g
r
oup
.
Ma
te
r
i
a
l
a
nd
M
ethod
s
:
Con
s
e
c
utive
,
p
r
o
s
pe
c
tive
,
c
r
o
ss
-
s
e
c
tion
a
l
s
tud
y
th
a
t
in
c
luded
p
a
tient
s
bet
w
een
18 a
nd
50 y
e
a
r
s
old
w
ith
on
s
et
of
s
exu
a
l
inte
r
c
ou
r
s
e
.
A
ll
p
a
-
tient
s
unde
rw
ent
c
lini
ca
l
ex
a
min
a
tion
a
nd
c
olle
c
tion
of
v
ag
in
a
l
fo
r
nix
to
s
tud
y BVS
b
y BAVA
C
O a
nd
c
ultu
r
e
.
T
he
L
a
c
toba
c
illu
s
s
pe
c
ie
s
p
r
e
s
ent
w
e
r
e
identi
fi
ed
b
y
m
a
ss
s
pe
c
t
r
omet
r
y
.
Re
s
ult
s
: 760
p
a
tient
s
w
e
r
e
a
n
a
l
y
z
ed
,
g
r
oup
1 (
n
= 175
,
18
to
24 y
e
a
r
s
) a
nd
g
r
oup
2 (
n
= 585
,
25
to
50 y
e
a
r
s
)
.
T
he
unb
a
l
a
n
c
ed
p
r
ev
a
len
c
e
of
v
ag
i
-
n
a
l
c
ontent
w
a
s
: g
r
oup
1 c
ont
r
ol
37
.
9% (50/132)
,
L
S
I
L
56
.
7% (17/30
,
p
= 0
.
047) a
nd
H
S
I
L
66
.
7% (8/12
,
p
= 0
,
05); a
nd
g
r
oup
2: c
ont
r
ol
39
.
4% (196/498)
,
L
S
I
L
50
.
0% (23/46
,
p
= 0
.
21) a
nd
H
S
I
L
48
.
6% (18/37
,
p
= 0
.
17)
.
T
he
mo
s
t
p
r
ev
a
lent
v
ag
ino
s
i
s
w
a
s
b
ac
te
r
i
a
l
in
both
g
r
oup
s
(
p
<0
.
001)
,
g
r
oup
1: c
ont
r
ol
35
.
6%;
L
S
I
L
46
.
7%
,
H
S
I
L
58
.
3% a
nd
g
r
oup
2: c
ont
r
ol
32
.
5%;
L
S
I
L
47
.
8%
,
H
S
I
L
43
.
2%
.
T
he
H
S
I
L
p
a
tient
s
h
a
d
a
p
r
ev
a
len
c
e
of
21
.
4%
of
L
ac
tob
ac
illu
s
c
r
i
s
p
a
tu
s
a
nd
46
.
2%
of
L
ac
tob
ac
illu
s
jen
s
enii
.
Con
c
lu
s
ion
s
:
the
H
S
I
L
g
r
oup
s
ho
w
ed
a g
r
e
a
te
r
unb
a
l
a
n
c
e
of
the
v
ag
in
a
l
mi
c
r
obiot
a
,
w
ith
a
lo
w
p
r
ev
a
len
c
e
of
L
.
c
r
i
s
patu
s
(
p
r
ote
c
tive
s
pe
c
ie
s
) a
nd
a
hi
g
h
p
r
ev
a
len
c
e
of
L
.
j
en
s
en
ii
(a
s
pe
c
ie
s
th
a
t
h
a
s
a
lo
w
e
r
p
r
ote
c
tive
r
ole
of
v
ag
in
a
l
d
y
s
fun
c
tion
)
.
T
he
r
efo
r
e
,
it
i
s
impo
r
t
a
nt
to
c
h
a
r
ac
te
r
i
z
e
L
ac
tob
ac
illu
s
s
pe
c
ie
s
,
s
in
c
e
the
in
c
r
e
a
s
e
in
non
-
p
r
ote
c
tive
s
pe
c
ie
s
in
thi
s
g
r
oup
of
p
a
tient
s
a
lte
r
s
the
v
ag
in
a
l
mi
c
r
oenvi
r
onment
,
ac
t
s
a
s
potenti
a
l
c
of
ac
to
r
s
in
the
pe
r
s
i
s
ten
c
e
of
HP
V
infe
c
tion
,
a
nd
in
c
r
e
a
s
e
s
the
r
i
s
k
of
ac
qui
r
in
g
othe
r
s
exu
a
ll
y
t
r
a
n
s
mitted
infe
c
tion
s
.
K
e
y
wor
d
s
:
v
ag
in
a
l
d
y
s
fun
c
tion
,
b
a
s
i
c
v
ag
in
a
l
c
ondition
s
,
l
ac
tob
ac
illu
s
s
pe
c
ie
s
,
Hum
a
n
P
a
pillom
a
vi
r
u
s
.
Int
ro
du
cc
i
ó
n
L
a
mi
c
r
obiot
a
v
ag
in
a
l
e
s
un
c
omplejo
s
i
s
tem
a
de
mi
c
r
oo
r
ga
-
ni
s
mo
s
r
el
ac
ion
a
do
s
ent
r
e
s
í
y
en
pe
r
m
a
nente
equilib
r
io
,
que
v
a
r
í
a
de
s
de
el
n
ac
imiento
,
c
on
un
p
r
edominio
de
l
ac
tob
ac
ilo
s
en
l
a
p
r
ime
r
a
s
em
a
n
a
de
vid
a
h
a
s
t
a
l
a
men
a
r
ca
,
ca
r
ac
te
r
i
z
a
d
a
po
r
l
a
p
r
e
s
en
c
i
a
de
mi
c
r
obiot
a
inte
r
medi
a c
o
rr
e
s
pondiente
a
b
ac
-
te
r
i
a
s
de
lo
ca
li
z
ac
ión
inte
s
tin
a
l
y
de
piel
.
E
n
l
a
pube
r
t
a
d
,
c
omo
c
on
s
e
c
uen
c
i
a
de
l
a
m
a
du
r
ac
ión
e
s
t
r
o
g
éni
ca
,
l
a
v
ag
in
a
no
r
m
a
l
c
ontiene
un
f
r
a
n
c
o
p
r
edominio
de
m
á
s
de
18
de
e
s
pe
c
ie
s
de
l
ac
-
tob
ac
ilo
s
y
,
en
meno
r
p
r
opo
r
c
ión
,
un
a g
r
a
n
v
a
r
ied
a
d
de
e
s
pe
c
ie
s
de
b
ac
te
r
i
a
s
a
e
r
óbi
ca
s
y a
n
a
e
r
óbi
ca
s
,
e
in
c
lu
s
ive
de
lev
a
du
r
a
s
.
E
s
enton
c
e
s
a
dmi
s
ible
r
e
c
ono
c
e
r
l
a
in
f
l
uen
c
i
a
de
l
a
e
s
timul
a
-
c
ión
ho
r
mon
a
l
,
p
r
in
c
ip
a
lmente
de
o
r
i
g
en
e
s
t
r
o
g
éni
c
o
,
en
l
a c
olo
-
ni
z
ac
ión
v
ag
in
a
l
,
c
on
un
p
r
edominio
de
l
ac
tob
ac
ilo
s
[1]
.
S
e
h
a
dete
r
min
a
do
de
s
de
h
ac
e
tiempo
que
l
a
s
b
ac
te
r
i
a
s
p
r
odu
c
to
r
a
s
de
ác
ido
l
ác
ti
c
o
s
on
l
a
s
en
ca
r
ga
d
a
s
de
m
a
ntene
r
en
equilib
r
io
l
a
mi
c
r
obiot
a
v
ag
in
a
l
,
evit
a
ndo
a
s
í
l
a
s
infe
cc
ione
s
del
t
r
ac
to
g
enitou
r
in
a
r
io
.
E
n
l
a
s
muje
r
e
s
a
dult
a
s
s
a
n
a
s
,
el
pH
v
ag
in
a
l
e
s
a
p
r
oxim
a
d
a
mente
4
,
5 y
l
a
s
e
s
pe
c
ie
s
p
r
edomin
a
nte
s
de
l
ac
tob
ac
ilo
s
m
a
ntienen
el
pH
b
a
jo
a
t
r
a
vé
s
de
s
u
ac
tivid
a
d
de
fe
r
ment
ac
ión
,
que
p
r
ote
g
e
el
á
r
e
a c
ont
r
a
l
a
inv
a
s
ión
de
mi
-
c
r
oo
r
ga
ni
s
mo
s
inde
s
e
a
ble
s
[2]
.
Re
c
ientemente
,
lo
s
método
s
mole
c
ul
a
r
e
s
h
a
n
demo
s
t
r
a
do
l
a
p
r
e
s
en
c
i
a
de
L
a
c
toba
c
illu
s
c
r
i
s
patu
s
,
L
.
ga
ss
e
r
i
,
L
.
j
en
s
en
ii
y L
.
i
ne
r
s
c
omo
g
é
r
mene
s
m
á
s
c
omune
s
[3]
.
E
s
c
ono
c
ido
el
he
c
ho
de
que
un
mi
c
r
obiom
a
v
ag
in
a
l
b
a
l
a
n
-
c
e
a
do
puede
p
r
eveni
r
l
a
s
infe
cc
ione
s
del
t
r
ac
to
g
enit
a
l
infe
r
io
r
;
l
a
f
a
lt
a
de
l
ac
tob
ac
ilo
s
f
a
vo
r
e
c
e
el
de
s
a
rr
ollo
de
v
ag
ino
s
i
s
b
ac
-
te
r
i
a
n
a (VB)
e
infe
cc
ione
s
de
t
r
a
n
s
mi
s
ión
s
exu
a
l
,
c
omo
el
vi
r
u
s
de
l
a
inmunode
fic
ien
c
i
a
hum
a
n
a y
vi
r
u
s
del
p
a
pilom
a
hum
a
no
(V
PH
) [4
,
5]
.
S
in
emb
a
r
g
o
,
eviden
c
i
a
r
e
c
iente
s
u
g
ie
r
e
que
el
e
s
-
t
a
do
del
mi
c
r
obiom
a
pod
r
í
a
in
f
l
uen
c
i
a
r
el
de
s
a
rr
ollo
del
cá
n
c
e
r,
s
itu
ac
ión
que
ya
h
a
s
ido
ca
r
ac
te
r
i
z
a
d
a
p
a
r
a
el
mi
c
r
obiom
a ga
s
-
t
r
ointe
s
tin
a
l
[6]
.
E
n
c
u
a
nto
a
l
a
r
el
ac
ión
ent
r
e
el
cá
n
c
e
r
g
ine
c
oló
g
i
c
o
y
el
de
s
-
b
a
l
a
n
c
e
del
mi
c
r
obiom
a
,
el
ejemplo
m
á
s
c
l
a
r
o
en
c
ont
r
a
do
h
a
s
t
a
e
s
te
momento
e
s
el
de
s
a
rr
ollo
de
tumo
r
e
s
V
PH
r
el
ac
ion
a
do
s
.
A
s
imi
s
mo
,
l
a
p
r
e
s
en
c
i
a
de
V
PH
pod
r
í
a
s
ele
cc
ion
a
r
el
e
c
o
s
i
s
tem
a
mi
c
r
obi
a
no
v
ag
in
a
l
ac
omp
a
ñ
a
nte
.
U
n
e
s
tudio
demue
s
t
r
a
que
l
a
s
muje
r
e
s
c
on
infe
cc
ión
c
on
V
PH
p
r
e
s
ent
a
r
on
en
s
u
s
mi
c
r
obio
-
m
a
s
a
umento
del
c
ontenido
d
e L
.
ga
ss
e
r
i
y
G
a
r
d
ne
r
e
lla
v
agi
n
a
-
li
s
[7]
.
E
n
ca
mbio
,
lo
s
mi
c
r
obiom
a
s
b
a
l
a
n
c
e
a
do
s
demue
s
t
r
a
n
trial
ca
ntid
a
d
de
L
.
c
r
i
s
patu
s
[8
,
9]
.
Fac
to
r
e
s
me
cá
ni
c
o
s
,
c
omo
l
a
s
du
c
h
a
s
v
ag
in
a
le
s
o
l
a
s
r
el
a
-
c
ione
s
s
exu
a
le
s
,
y
f
ac
to
r
e
s
bioló
g
i
c
o
s
,
c
omo
l
a VB [10
,
11]
o
in
-
fe
cc
ione
s
de
t
r
a
n
s
mi
s
ión
s
exu
a
l
[12]
,
a
lte
r
a
n
el
mi
c
r
o
a
mbiente
v
ag
in
a
l
y
h
a
n
s
ido
identi
fica
do
s
c
omo
c
of
ac
to
r
e
s
en
l
a
pe
r
s
i
s
-
ten
c
i
a
de
l
a
infe
cc
ión
po
r
V
PH
.
E
s
to
s
u
g
ie
r
e
que
f
ac
to
r
e
s
a
di
c
io
-
n
a
le
s
ac
tú
a
n
en
c
onjunto
c
on
el
vi
r
u
s
de
V
PH
p
a
r
a
in
f
l
uen
c
i
a
r
en
el
r
ie
s
g
o
del
de
s
a
rr
ollo
de
cá
n
c
e
r
c
e
r
vi
ca
l
.
U
no
de
lo
s
po
s
ible
s
me
ca
ni
s
mo
s
po
r
lo
s
c
u
a
le
s
puede
r
el
ac
ion
a
r
s
e
el
imp
ac
to
del
mi
c
r
obiom
a
en
l
a
on
c
o
g
éne
s
i
s
s
e
debe
a
l
de
s
a
rr
ollo
de
l
a
in
f
l
a
-
m
ac
ión
c
r
óni
ca
,
l
a c
u
a
l
s
e
a
s
o
c
i
a c
on
l
a
s
neopl
a
s
i
a
s
c
e
r
vi
ca
le
s
.
E
s
po
s
ible
que
el
mi
c
r
obiom
a c
e
r
vi
ca
l
e
s
té
involu
c
r
a
do
en
p
r
o
-
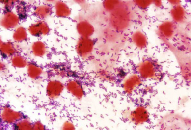
F
i
g
u
r
a
1
.
E
s
t
a
do
Vag
in
a
l
Bá
s
i
c
o
I
(
mi
c
r
obiot
a
no
r
m
a
l
):
l
ac
-
tob
ac
ilo
s
.
O
b
s
e
r
v
ac
ión
del
c
ontenido
v
ag
in
a
l
en
l
a c
olo
r
a
-
c
ión
de
Gr
a
m
(1000
X
)
.
36
C
a
r
ac
te
r
i
z
ac
ión
de
l
a
mi
c
r
obiot
a
v
ag
in
a
l
en
muje
r
e
s
c
on
le
s
ione
s
p
r
odu
c
id
a
s
po
r
el
trial
del
p
a
pilom
a
hum
a
no
.
By
PC
2020;84(2):34
-
42
.
move
r
l
a
exp
r
e
s
ión
de
c
itoquin
a
s
inmuno
s
up
r
e
s
o
r
a
s
[13]
.
L
a
t
r
a
n
s
i
c
ión
a
un
fenotipo
p
r
oon
c
o
g
éni
c
o
s
e
p
r
odu
c
i
r
í
a
po
r
un
ca
mbio
en
el
in
fi
lt
r
a
do
in
f
l
a
m
a
to
r
io
,
el
c
u
a
l
e
s
t
a
r
í
a
domin
a
do
po
r
c
élul
a
s
del
s
i
s
tem
a
inmune
que
ac
tu
a
r
í
a
n
en
l
a
in
f
l
a
m
ac
ión
c
r
óni
ca
,
c
omo
,
po
r
ejemplo
,
m
ac
r
óf
ag
o
s
M2
,
c
élul
a
s
T
r
e
g
ul
a
do
-
r
a
s
(
Tr
e
g) y c
élul
a
s
s
up
r
e
s
o
r
a
s
de
r
iv
a
d
a
s
de
l
a
líne
a
mieloide
(M
D
S
C
-
m
y
e
loid
-
d
e
r
i
ve
d
s
upp
r
e
ss
o
r
ce
ll
s
) [14]
.
L
o
s
objetivo
s
de
e
s
te
t
r
a
b
a
jo
fue
r
on
ev
a
lu
a
r
l
a
di
s
fun
c
ión
v
ag
in
a
l
medi
a
nte
lo
s
e
s
t
a
do
s
v
ag
in
a
le
s
b
á
s
i
c
o
s
(EVB)
po
r
me
-
todolo
g
í
a
del
Ba
l
a
n
c
e
del
Contenido
Vag
in
a
l
(BA
C
OVA) y
l
a
p
r
e
-
s
en
c
i
a
de
mi
c
r
obiot
a
l
ac
tob
ac
il
a
r
en
p
ac
iente
s
c
on
le
s
ione
s
int
a
epiteli
a
le
s
e
s
ca
mo
s
a
s
de
a
lto
(
H
S
I
L
) y
b
a
jo
g
r
a
do
(
L
S
I
L
)
po
r
V
PH
,
en
c
omp
a
r
ac
ión
c
on
un
g
r
upo
c
ont
r
ol
,
y ca
r
ac
te
r
i
z
a
r
l
a
s
e
s
-
pe
c
ie
s
de
L
a
c
toba
c
illu
s
a
s
o
c
i
a
d
a
s
a
e
s
t
a
s
le
s
ione
s
.
M
ate
r
iale
s
y
mét
o
d
o
s
S
e
r
e
a
li
z
ó
un
e
s
tudio
c
on
s
e
c
utivo
,
p
r
o
s
pe
c
tivo
,
de
s
c
r
iptivo
,
de
c
o
r
te
t
r
a
n
s
ve
r
s
a
l
.
S
e
ex
a
min
a
r
on
p
ac
iente
s
ent
r
e
18 y 50
a
ño
s
,
c
on
ini
c
io
de
r
el
ac
ione
s
s
exu
a
le
s
a
tendid
a
s
en
el
P
r
o
g
r
a
-
m
a
de
P
r
even
c
ión
,
D
i
ag
nó
s
ti
c
o
,
T
e
r
a
péuti
ca y Vac
un
ac
ión
en
el
Tr
ac
to
G
enit
a
l
Infe
r
io
r,
ent
r
e
o
c
tub
r
e
del
2013 y
junio
del
2019
.
E
s
te
t
r
a
b
a
jo
fue
a
p
r
ob
a
do
po
r
el
Comité
de
É
ti
ca
del
Ho
s
pit
a
l
y
tod
a
s
l
a
s
p
ac
iente
s
die
r
on
s
u
c
on
s
entimiento
info
r
m
a
do
.
L
a
po
-
bl
ac
ión
e
s
tudi
a
d
a
s
e
c
l
a
s
i
fic
ó
en
lo
s
s
i
g
uiente
s
g
r
upo
s
,
que
,
a
s
u
ve
z
s
e
s
ubdividie
r
on
en
s
ub
g
r
upo
s
: g
r
upo
1:
in
c
luí
a a
p
ac
iente
s
de
18 a 24 a
ño
s
s
in
le
s
ión
po
r
V
PH
,
c
on
L
S
I
L
y
H
S
I
L
; y g
r
upo
2:
p
ac
iente
s
de
25 a 50 a
ño
s
s
in
le
s
ión
po
r
V
PH
,
c
on
L
S
I
L
y
H
S
I
L
.
L
o
s
c
r
ite
r
io
s
de
ex
c
lu
s
ión
fue
r
on
:
el
u
s
o
de
a
ntibióti
c
o
s
lo
-
ca
le
s
o
s
i
s
témi
c
o
s
dent
r
o
de
lo
s
15
dí
a
s
p
r
evio
s
a
l
a c
on
s
ult
a
,
emb
a
r
a
z
a
d
a
s
,
m
a
lfo
r
m
ac
ione
s
g
enit
a
le
s
,
p
ac
iente
s
en
t
r
a
t
a
-
miento
c
on
c
o
r
ti
c
oide
s
o
quimiote
r
a
pi
a
,
s
in
ini
c
io
de
r
el
ac
ione
s
s
exu
a
le
s
o
s
in
a
b
s
tinen
c
i
a
s
exu
a
l
dent
r
o
de
l
a
s
48
h
s
p
r
evi
a
s
a
l
e
s
tudio
.
E
n
el
P
r
o
g
r
a
m
a
de
P
r
even
c
ión
,
D
i
ag
nó
s
ti
c
o
,
T
e
r
a
péuti
ca y Va
-
c
un
ac
ión
en
el
Tr
ac
to
G
enit
a
l
Infe
r
io
r,
p
r
evi
a fi
r
m
a
del
c
on
s
enti
-
miento
info
r
m
a
do
,
s
e
r
e
ca
b
a
r
on
lo
s
d
a
to
s
p
a
r
a c
omplet
a
r
l
a
hi
s
-
F
i
g
u
r
a
2
.
E
s
t
a
do
Vag
in
a
l
Bá
s
i
c
o
II
(
mi
c
r
obiot
a
no
r
m
a
l
c
on
r
e
acc
ión
in
f
l
a
m
a
to
r
i
a):
lev
a
du
r
a
s
c
on
p
s
eudohif
a
s
.
O
b
-
s
e
r
v
ac
ión
del
c
ontenido
v
ag
in
a
l
en
l
a c
olo
r
ac
ión
de
Gr
a
m
(1000
X
)
.
F
i
g
u
r
a
3
.
E
s
t
a
do
Vag
in
a
l
Bá
s
i
c
o
III
(
mi
c
r
obiot
a
inte
r
medi
a):
l
ac
tob
ac
ilo
s
y
mo
r
fotipo
s
c
omp
a
tible
s
c
on
a
n
a
e
r
obio
s
.
O
b
-
s
e
r
v
ac
ión
del
c
ontenido
v
ag
in
a
l
en
l
a c
olo
r
ac
ión
de
Gr
a
m
(1000
X
)
.
F
i
g
u
r
a
4
.
E
s
t
a
do
Vag
in
a
l
Bá
s
i
c
o
I
V (
v
ag
ino
s
i
s
b
ac
te
r
i
a
n
a):
mo
r
fotipo
s
c
omp
a
tible
s
c
on
a
n
a
e
r
obio
s
.
O
b
s
e
r
v
ac
ión
del
c
ontenido
v
ag
in
a
l
en
l
a c
olo
r
ac
ión
de
Gr
a
m
(trial)
.
F
i
g
u
r
a
5
.
E
s
t
a
do
Vag
in
a
l
Bá
s
i
c
o
V (
v
ag
initi
s
mi
c
r
obi
a
n
a
ine
s
pe
c
í
fica):
mo
r
fotipo
s
b
ac
te
r
i
a
no
s
c
o
r
inefo
r
me
s
.
O
b
-
s
e
r
v
ac
ión
del
c
ontenido
v
ag
in
a
l
en
l
a c
olo
r
ac
ión
de
Gr
a
m
(1000
X
)
.
By
PC
2020;84(2):34
-
42
.
C
a
r
ac
te
r
i
z
ac
ión
de
l
a
mi
c
r
obiot
a
v
ag
in
a
l
en
muje
r
e
s
c
on
le
s
ione
s
37
p
r
odu
c
id
a
s
po
r
el
vi
r
u
s
del
p
a
pilom
a
hum
a
no
.
to
r
i
a c
líni
ca g
ine
c
oló
g
i
ca
.
A
dem
á
s
,
s
e
r
e
c
o
g
ie
r
on
d
a
to
s
médi
c
o
s
y
epidemioló
g
i
c
o
s
de
inte
r
é
s
.
S
e
tomó
mue
s
t
r
a
p
a
r
a c
itolo
g
í
a
c
e
r
vi
ca
l
,
exo
y
endo
c
e
r
vi
ca
l
(c
on
e
s
p
á
tul
a
de
Ay
r
e
y c
itob
r
u
s
h
)
.
S
e
r
e
a
li
z
ó
c
olpo
s
c
opi
a a
tod
a
s
l
a
s
p
ac
iente
s
c
on
un
a
umento
de
16
X
,
p
r
evi
a a
pli
cac
ión
de
un
s
p
r
ay
de
ác
ido
ac
éti
c
o
s
ob
r
e
el
c
uello
ute
r
ino
.
L
o
s
d
a
to
s
r
e
ca
b
a
do
s
de
l
a c
olpo
s
c
opi
a
fue
r
on
ca
-
t
a
lo
ga
do
s
de
ac
ue
r
do
c
on
l
a c
l
a
s
i
ficac
ión
de
l
a
Inte
r
n
a
tion
a
l
F
e
-
de
r
a
tion
of
Colpo
s
c
op
y a
nd
Ce
r
vi
ca
l
P
a
tholo
gy (
ve
r
s
ión
2011)
[15]
.
L
a
s
c
itolo
g
í
a
s
fue
r
on
c
olo
r
e
a
d
a
s
c
on
l
a
té
c
ni
ca
de
P
a
p
a
ni
-
c
ol
a
ou
(
en
el
D
ep
a
r
t
a
mento
de
P
a
tolo
g
í
a)
,
l
a c
u
a
l
s
e
info
r
mó
,
s
e
g
ún
l
a c
l
a
s
i
ficac
ión
de
B
ethe
s
d
a (
ve
r
s
ión
2001) [16]
.
L
a
s
mue
s
t
r
a
s
hi
s
toló
g
i
ca
s
fue
r
on
info
r
m
a
d
a
s
de
ac
ue
r
do
c
on
l
a c
l
a
-
s
i
ficac
ión
p
r
opue
s
t
a
po
r
el
L
AS
T
(L
o
w
e
r
An
og
en
ital
S
quamou
s
T
e
r
mi
n
olog
y
)
P
r
oje
c
t
[17]
.
A
tod
a
s
l
a
s
p
ac
iente
s
s
e
le
s
r
e
a
li
z
ó
ex
a
men
c
líni
c
o
y
tom
a
de
fondo
de
s
ac
o
v
ag
in
a
l
,
p
a
r
a
el
e
s
tudio
mi
c
r
obioló
g
i
c
o
,
po
r
meto
-
dolo
g
í
a c
onven
c
ion
a
l
y
e
s
tudio
de
lo
s
EVB
medi
a
nte
BA
C
OVA
.
E
l
e
s
tudio
mi
c
r
obioló
g
i
c
o
del
c
ontenido
v
ag
in
a
l
in
c
lu
y
ó
lo
s
s
i
g
uien
-
te
s
ex
á
mene
s
:
1
.
E
xtendido
s
p
a
r
a c
olo
r
ac
ión
de
Gr
a
m
y May
-Gr
un
w
a
ld
G
iem
s
a
p
r
olon
ga
do
.
2
.
O
b
s
e
r
v
ac
ión
en
f
r
e
s
c
o
c
on
1
ml
de
s
olu
c
ión
fi
s
ioló
g
i
ca (SF)
.
3
.
D
ete
r
min
ac
ión
de
pH
de
l
a
s
e
c
r
e
c
ión
v
ag
in
a
l
.
4
.
O
b
s
e
r
v
ac
ión
en
f
r
e
s
c
o
c
on
1
ml
de
KO
H
a
l
10 % y
p
r
ueb
a
de
a
min
a
s
.
5
.
Cultivo
en
medio
líquido
(
tio
g
li
c
ol
a
to
modi
fica
do
)
p
a
r
a
T.
v
a
-
gi
n
ali
s
,
c
on
in
c
ub
ac
ión
de
7
dí
a
s
a 37º
C
en
a
tmó
s
fe
r
a
de
5 %
de
C
O2 [18]
.
6
.
Cultivo
en
aga
r
b
a
s
e
Columbi
a c
on
5%
de
s
a
n
g
r
e
hum
a
n
a y
en
aga
r
Ma
n
Ro
g
o
s
a c
on
in
c
ub
ac
ión
de
48
h
s
.
a 37°
C
en
a
t
-
mó
s
fe
r
a
de
5 %
de
C
O2
,
c
on
s
e
r
v
a
ndo
l
a
mue
s
t
r
a
en
medio
de
S
tu
a
r
t
.
L
a
dete
cc
ión
de
ca
ndidi
a
s
i
s
s
e
r
e
a
li
z
ó
a
t
r
a
vé
s
de
l
a
ob
s
e
r-
v
ac
ión
en
f
r
e
s
c
o
c
on
SF y c
on
KO
H
a
l
10 % y
po
r
c
ultivo
en
aga
r
Sa
bou
r
a
ud
y aga
r
s
a
n
g
r
e
.
L
a
inve
s
ti
gac
ión
de
T.
v
agi
n
ali
s
s
e
r
e
a
li
z
ó
a
t
r
a
vé
s
de
l
a
ob
-
s
e
r
v
ac
ión
mi
c
r
o
s
c
ópi
ca
di
r
e
c
t
a c
on
s
olu
c
ión
fi
s
ioló
g
i
ca (SF)
,
l
a
c
olo
r
ac
ión
de
May
-Gr
un
w
a
ld
G
iem
s
a
p
r
olon
ga
do
y
el
c
ultivo
en
tio
g
li
c
ol
a
to
modi
fica
do
[18
,
19]
.
E
l
di
ag
nó
s
ti
c
o
de
VB
s
e
r
e
a
li
z
ó
T
abla
I.
D
i
s
t
r
ibu
c
ión
de
lo
s
e
s
t
a
do
s
v
ag
in
a
le
s
b
á
s
i
c
o
s
(EVB)
en
el
g
r
upo
1
de
p
ac
iente
s
ent
r
e
18
-
24 a
ño
s
.
L
S
I
L
,
le
s
ión
int
r
a
epiteli
a
l
e
s
ca
mo
s
a
de
b
a
jo
g
r
a
do
;
H
S
I
L
,
le
s
ión
int
r
a
epiteli
a
l
e
s
ca
mo
s
a
de
a
lto
g
r
a
do
; EV
B
,
E
s
t
a
do
Vag
in
a
l
B
á
s
i
c
o
.
L
S
I
L
H
S
I
L
(
n
=30) (
n
=12)
C
a
r
c
inom
a
(
n
=1)
Cont
r
ol
(
n
=132)
EVB
N
%
n
%
n
I
7 23
,
42 16
,
70
II
6 20
,
02 16
,
70
III
3 10
,
01 8
,
30
I
V 10 33
,
31 8
,
31
V4 13
,
36 50
,
00
Trial
30100121001
%
n
%
0 49 37
,
1
0 33 25
,
0
03 2
,
3
100 22 16
,
7
0 25 19
,
0
100132100
L
S
I
L
H
S
I
L
(
n
=46) (
n
=37)
C
a
r
c
inom
a
(
n
=4)
Cont
r
ol
(
n
=498)
EVB
N
%
n
%
n
I
14 30
,
47 18
,
91
II
9 19
,
6 12 32
,
51
III
1 2
,
11 2
,
70
I
V9 19
,
68 21
,
61
V 13 28
,
39 24
,
31
Trial
46100371004
%
n
%
25
,
0 170 34
,
1
25
,
0 132 26
,
5
0193
,
8
25
,
086 17
,
3
25
,
091 18
,
3
100498100
T
abla
II.
P
r
ev
a
len
c
i
a
de
e
s
t
a
do
s
v
ag
in
a
le
s
b
á
s
i
c
o
s
(EVB)
de
de
s
b
a
l
a
n
c
e
del
c
ontenido
v
ag
in
a
l
en
el
g
r
upo
1
de
p
ac
ien
-
te
s
18
-
24 a
ño
s
,
s
e
g
ún
tipo
de
le
s
ión
.
L
S
I
L
,
le
s
ión
int
r
a
epiteli
a
l
e
s
ca
mo
s
a
de
b
a
jo
g
r
a
do
;
H
S
I
L
,
le
s
ión
int
r
a
epiteli
a
l
e
s
ca
mo
s
a
de
a
lto
g
r
a
do
; EV
B
,
E
s
t
a
do
Vag
in
a
l
B
á
s
i
c
o
.
38
C
a
r
ac
te
r
i
z
ac
ión
de
l
a
mi
c
r
obiot
a
v
ag
in
a
l
en
muje
r
e
s
c
on
le
s
ione
s
p
r
odu
c
id
a
s
po
r
el
vi
r
u
s
del
p
a
pilom
a
hum
a
no
.
By
PC
2020;84(2):34
-
42
.
utili
z
a
ndo
el
c
r
ite
r
io
de
Nu
g
ent
[20]
.
E
l
e
s
tudio
del
BA
C
OVA
in
c
lu
-
y
ó
el
a
n
á
li
s
i
s
mo
r
foló
g
i
c
o
del
c
ontenido
v
ag
in
a
l
en
fun
c
ión
de
l
a
r
el
ac
ión
del
v
a
lo
r
numé
r
i
c
o
y
l
a
r
e
acc
ión
in
f
l
a
m
a
to
r
i
a
v
ag
in
a
l
y
s
e
identi
fica
r
on
5 EVB:
mi
c
r
obiot
a
no
r
m
a
l
(
I
)
,
mi
c
r
obiot
a
no
r
m
a
l
m
á
s
r
e
acc
ión
in
f
l
a
m
a
to
r
i
a (
II
)
,
mi
c
r
obiot
a
inte
r
medi
a (
III
)
,
VB
(
I
V) y
v
ag
initi
s
mi
c
r
obi
a
n
a
ine
s
pe
c
í
fica (V) (F
i
g
u
r
a
s
1 a 5) [21]
.
E
l
v
a
lo
r
numé
r
i
c
o
s
e
dete
r
minó
ev
a
lu
a
ndo
lo
s
dife
r
ente
s
mo
r
fo
-
tipo
s
en
l
a c
olo
r
ac
ión
de
Gr
a
m
,
s
e
g
ún
el
c
r
ite
r
io
de
Nu
g
ent
[20]
.
L
a c
u
a
nti
ficac
ión
de
leu
c
o
c
ito
s
s
e
ev
a
luó
medi
a
nte
tin
c
ión
de
May
-Gr
un
w
a
ld
G
iem
s
a y
s
e
exp
r
e
s
ó
c
omo
núme
r
o
de
leu
c
o
c
ito
s
po
r
ca
mpo
(400
X
)
,
ca
l
c
ul
a
ndo
el
r
e
c
uento
medio
de
leu
c
o
c
ito
s
dent
r
o
de
10 ca
mpo
s
mi
c
r
o
s
c
ópi
c
o
s
no
a
d
yac
ente
s
[21]
.
P
a
r
a
el
a
i
s
l
a
miento
de
l
a
s
di
s
tint
a
s
e
s
pe
c
ie
s
de
L
a
c
toba
c
illu
s
s
e
utili
z
ó
el
aga
r
s
a
n
g
r
e
y
el
aga
r
Ma
n
Ro
g
o
s
a y
l
a
identi
ficac
ión
s
e
r
e
a
li
z
ó
medi
a
nte
p
r
ueb
a
s
c
onven
c
ion
a
le
s
b
a
s
a
d
a
s
en
l
a
fe
r-
ment
ac
ión
de
hid
r
a
to
s
de
ca
r
bono
[22]
,
medi
a
nte
E
s
pe
c
t
r
o
-
met
r
í
a
de
Ma
s
a B
DT
M B
r
u
k
e
r
MA
L
D
I
-T
OF (
D
e
s
o
r
c
ión
/
Ioni
z
ac
ión
L
á
s
e
r
A
s
i
s
tid
a
po
r
Ma
t
r
i
z
,
c
on
dete
c
to
r
de
ione
s
po
r
T
iempo
de
V
uelo
)
,
utili
z
a
ndo
un
a
b
a
s
e
de
d
a
to
s
que
in
c
lu
y
ó
m
á
s
de
90
e
s
-
pe
c
ie
s
de
l
ac
tob
ac
ilo
s
,
c
on
s
ide
r
a
ndo
un
s
c
o
r
e
≥
1
,
7
p
a
r
a
nivel
de
e
s
pe
c
ie
[23] y
medi
a
nte
s
e
c
uen
c
i
ac
ión
del
g
en
A
D
N
r
16S
(
método
de
r
efe
r
en
c
i
a) [24]
.
A
náli
s
i
s
e
s
tadí
s
ti
c
o
P
a
r
a c
omp
a
r
a
r
l
a
s
p
r
ev
a
len
c
i
a
s
de
lo
s
EVB y
de
l
a
s
e
s
pe
-
c
ie
s
de
l
ac
tob
ac
ilo
s
,
de
ca
ndidi
a
s
i
s
,
VB y
t
r
i
c
homoni
a
s
i
s
en
lo
s
di
s
tinto
s
g
r
upo
s
et
a
r
io
s
y
s
ub
g
r
upo
s
,
a
tendiendo
a
l
a
le
s
ión
in
-
t
r
a
epiteli
a
l
que
l
a
p
ac
iente
p
r
e
s
ent
a
b
a
,
s
e
utili
z
ó
el
te
s
t
de
Chi
c
u
a
d
r
a
do
(
χ
2
) y
el
te
s
t
de
F
i
s
he
r.
S
e
c
on
s
ide
r
ó
s
i
g
ni
fica
tivo
un
v
a
lo
r
de
p
meno
r
a 0
,
05
.
Re
s
ultad
o
s
S
e
e
s
tudi
a
r
on
760
p
ac
iente
s
y
s
e
dividie
r
on
en
2 g
r
upo
s
et
a
r
io
s
,
g
r
upo
1
de
18 a 24 a
ño
s
(M
edi
a: 21
,
5;
IC
95% 21
,
1
-
21
,
8;
n
=174) y
el
g
r
upo
2
de
25 a 50 a
ño
s
(M
edi
a: 35
,
0;
IC
95% 34
,
4
-
35
,
6;
n
=585)
.
E
n
l
a
t
a
bl
a
I
s
e
ob
s
e
r
v
a
l
a
di
s
t
r
ibu
c
ión
de
lo
s
EVB
en
el
g
r
upo
1
.
L
a
s
p
r
ev
a
len
c
i
a
s
de
EVB
de
de
s
b
a
l
a
n
c
e
del
c
ontenido
v
ag
in
a
l
L
S
I
L
H
S
I
L
(
n
=46) (
n
=37)
C
a
r
c
inom
a
(
n
=4)
Cont
r
ol
(
n
=498)
EVB
N
%
n
%
n
%
n
%
D
e
s
b
a
l
a
n
c
e
del
c
ontenido
v
ag
in
a
l
23
(
III
-
I
V
–
V)
50
,
01848
,
62
50
,
019639
,
4
M
i
c
r
obiot
a
no
r
m
a
l
(
I
-
II
)
23
50
,
01951
,
4250
,
030260
,
6
T
ot
a
l
46100371004100498100
T
abla
I
V
.
P
r
ev
a
len
c
i
a
de
lo
s
e
s
t
a
do
s
v
ag
in
a
le
s
b
á
s
i
c
o
s
(EVB)
de
de
s
b
a
l
a
n
c
e
del
c
ontenido
v
ag
in
a
l
en
p
ac
iente
s
ent
r
e
25
-
50 a
ño
s
,
s
e
g
ún
tipo
de
le
s
ión
.
L
S
I
L
,
le
s
ión
int
r
a
epiteli
a
l
e
s
ca
mo
s
a
de
b
a
jo
g
r
a
do
;
H
S
I
L
,
le
s
ión
int
r
a
epiteli
a
l
e
s
ca
mo
s
a
de
a
lto
g
r
a
do
; EV
B
,
E
s
t
a
do
Vag
in
a
l
B
á
s
i
c
o
.
T
abla
III.
D
i
s
t
r
ibu
c
ión
de
lo
s
e
s
t
a
do
s
v
ag
in
a
le
s
b
á
s
i
c
o
s
(EVB)
en
el
g
r
upo
de
p
ac
iente
s
ent
r
e
25
-
50 a
ño
s
.
L
S
I
L
H
S
I
L
(
n
=30) (
n
=12)
C
a
r
c
inom
a
(
n
=1)
Cont
r
ol
(
n
=132)
EVB
n
%
n
%
n
%
n
%
D
e
s
b
a
l
a
n
c
e
del
c
ontenido
v
ag
in
a
l
(
III
-
I
V
–
V)
1756
,
7866
,
7
1100
,
05037
,
9
M
i
c
r
obiot
a
no
r
m
a
l
(
I
-
II
)
1343
,
3433
,
3
008262
,
1
T
ot
a
l
3010012100
1100132100
L
S
I
L
,
le
s
ión
int
r
a
epiteli
a
l
e
s
ca
mo
s
a
de
b
a
jo
trial;
H
S
I
L
,
le
s
ión
int
r
a
epiteli
a
l
e
s
ca
mo
s
a
de
a
lto
g
r
a
do
; EV
B
,
E
s
t
a
do
Vag
in
a
l
B
á
s
i
c
o
.
By
PC
2020;84(2):34
-
42
.
C
a
r
ac
te
r
i
z
ac
ión
de
l
a
mi
c
r
obiot
a
v
ag
in
a
l
en
muje
r
e
s
c
on
le
s
ione
s
39
p
r
odu
c
id
a
s
po
r
el
vi
r
u
s
del
p
a
pilom
a
hum
a
no
.
(
III
,
I
V y V)
en
el
g
r
upo
1
fue
l
a
s
i
g
uiente
:
s
ub
g
r
upo
c
ont
r
ol
: 37
,
9 %
(50/132)
,
s
ub
g
r
upo
L
S
I
L
: 56
,
7 % (17/30
,
p
=0
,
047) y
s
ub
g
r
upo
H
S
I
L
66
,
7 % (8/12
,
p
=0
,
05) (
T
a
bl
a
II
)
.
E
n
l
a
t
a
bl
a
III
s
e
ob
s
e
r
v
a
l
a
di
s
t
r
ibu
c
ión
de
lo
s
EVB
en
el
g
r
u
-
po
1
s
e
g
ún
l
a
le
s
ión
y
el
g
r
upo
c
ont
r
ol
,
s
e
ob
s
e
r
v
a
en
l
a
t
a
bl
a
III
.
L
a
s
p
r
ev
a
len
c
i
a
s
de
EVB
de
de
s
b
a
l
a
n
c
e
del
c
ontenido
v
ag
in
a
l
(
III
,
I
V y V)
en
el
g
r
upo
2
fue
r
on
en
el
s
ub
g
r
upo
c
ont
r
ol
,
39
,
4 %
(196/498)
,
s
ub
g
r
upo
L
S
I
L
50
,
0 % (23/46
,
p
=0
,
21) y
s
ub
g
r
upo
H
S
I
L
48
,
6 % (18/37
,
p
=0
,
17) (
T
a
bl
a
I
V)
.
T
a
nto
el
g
r
upo
1 c
omo
el
g
r
upo
2
p
r
e
s
ent
a
r
on
m
ay
o
r
e
s
p
r
ev
a
len
c
i
a
s
de
VB (51
,
2 % y 46
,
0
%)
v
ag
ino
s
i
s
po
r
lev
a
du
r
a
s
(11
,
6 % y 16
,
1 %) y
de
Tr
i
c
homo
n
a
s
v
agi
n
ali
s
(4
,
7 % y 4
,
6 %)
r
e
s
pe
c
tiv
a
mente
,
y
e
s
t
a
s
dife
r
en
c
i
a
s
r
e
s
ult
a
r
on
e
s
t
a
dí
s
ti
ca
mente
s
i
g
ni
fica
tiv
a
s
p
a
r
a a
mbo
s
g
r
upo
s
et
a
r
io
s
(
p
<0
,
001)
.
E
l
a
n
á
li
s
i
s
de
p
r
ev
a
len
c
i
a
de
VB
en
el
g
r
upo
1
fue
: c
ont
r
ol
35
,
6
%;
L
S
I
L
46
,
7 %
,
H
S
I
L
58
,
3 %
,
mient
r
a
s
que
en
el
g
r
upo
2: c
ont
r
ol
32
,
5 %;
L
S
I
L
47
,
8 %
,
H
S
I
L
43
,
2 % (
T
a
bl
a
s
V y V
I
)
.
D
el
tot
a
l
de
p
ac
iente
s
del
e
s
tudio
(
n
=760)
,
s
e
dete
c
tó
mi
-
c
r
obiot
a
l
ac
tob
ac
il
a
r
en
465
p
ac
iente
s
(g
r
upo
1
n
=104 y g
r
upo
2
n
=361)
,
de
l
a
s
c
u
a
le
s
s
e
pudie
r
on
ca
r
ac
te
r
i
z
a
r
270
e
s
pe
c
ie
s
de
L
a
c
toba
c
illu
s
c
ultiv
a
ble
s
.
E
n
l
a fig
u
r
a 6
s
e
vi
s
u
a
li
z
a
l
a
mo
r
fo
-
lo
g
í
a
de
L
.
c
r
i
s
patu
s
,
L
.
j
en
s
en
ii
y L
.
ga
ss
e
r
i
,
en
l
a c
olo
r
ac
ión
de
Gr
a
m
.
L
a
f
r
e
c
uen
c
i
a
de
l
a
s
dife
r
ente
s
e
s
pe
c
ie
s
de
L
a
c
toba
c
illu
s
en
c
ont
r
a
d
a
s
en
l
a
s
p
ac
iente
s
del
e
s
tudio
,
s
e
g
ún
el
tipo
de
le
s
ión
po
r
V
PH
,
s
e
ob
s
e
r
v
a
en
l
a
t
a
bl
a V
II
.
Cu
a
ndo
s
e
r
e
a
li
z
ó
l
a ca
r
ac
te
-
r
i
z
ac
ión
de
l
a
s
e
s
pe
c
ie
s
de
L
a
c
toba
c
illu
s
,
l
a
s
p
ac
iente
s
c
on
H
S
I
L
p
r
e
s
ent
a
r
on
un
a
p
r
ev
a
len
c
i
a
de
21
,
4 %
de
L
.
c
r
i
s
patu
s
y 46
,
2 %
de
L
.
j
en
s
en
ii
.
D
i
s
c
u
s
i
ó
n
M
u
c
ho
s
f
ac
to
r
e
s
s
e
en
c
uent
r
a
n
impli
ca
do
s
en
el
de
s
a
rr
ollo
de
ca
r
c
inom
a c
e
r
vi
ca
l
;
uno
de
ello
s
e
s
el
mi
c
r
obiom
a
que
ac
om
-
p
a
ñ
a
l
a
infe
cc
ión
po
r
V
PH
.
L
a c
ompo
s
i
c
ión
de
l
a
mi
c
r
obiot
a
v
ag
i
-
n
a
l
t
a
mbién
e
s
in
f
l
uen
c
i
a
d
a
po
r
nume
r
o
s
o
s
f
ac
to
r
e
s
;
l
a
etni
a
e
s
el
p
r
in
c
ip
a
l
f
ac
to
r
int
r
ín
s
e
c
o
que
s
e
a
s
o
c
i
a c
on
l
a c
ompo
s
i
c
ión
del
mi
c
r
obiom
a
,
de
fo
r
m
a
t
a
l
que
l
a
s
muje
r
e
s
ca
u
cá
s
i
ca
s
y a
s
i
á
-
T
abla
V
.
P
r
ev
a
len
c
i
a
de
lev
a
du
r
a
s
,
v
ag
ino
s
i
s
b
ac
te
r
i
a
n
a y
t
r
i
c
homon
a
s
en
p
ac
iente
s
ent
r
e
18
-
24 a
ño
s
,
s
e
g
ún
tipo
de
le
s
ión
.
L
S
I
L
H
S
I
L
(
n
=30) (
n
=12)
C
a
r
c
inom
a
(
n
=1)
Cont
r
ol
(
n
=132)
P
a
tó
g
enoN
%
n
%
n
%
n
%
L
ev
a
du
r
a
s
516
,
70
0
,
000
,
03425
,
8
VB1446
,
77
58
,
31100
,
04735
,
6
Tr
i
c
homon
a
s
13
,
31
8
,
300
,
043
,
0
L
S
I
L
,
le
s
ión
int
r
a
epiteli
a
l
e
s
ca
mo
s
a
de
b
a
jo
g
r
a
do
;
H
S
I
L
,
le
s
ión
int
r
a
epiteli
a
l
e
s
ca
mo
s
a
de
a
lto
g
r
a
do
; V
B
,
v
ag
ino
s
i
s
b
ac
te
r
i
a
n
a
.
T
abla
V
I.
P
r
ev
a
len
c
i
a
de
lev
a
du
r
a
s
,
v
ag
ino
s
i
s
b
ac
te
r
i
a
n
a y
t
r
i
c
homon
a
s
en
p
ac
iente
s
ent
r
e
25
-
50 a
ño
s
,
s
e
g
ún
tipo
de
le
s
ión
.
Trial
H
S
I
L
b
(
n
=46) (
n
=37)
C
a
r
c
inom
a
(
n
=4)
Cont
r
ol
(
n
=498)
P
a
tó
g
eno
N
%
n
%
n
%
n
%
L
ev
a
du
r
a
s
919
,
6513
,
50
0
,
012124
,
3
VB
c
2247
,
81643
,
22
50
,
016232
,
5
Tr
i
c
homon
a
s
48
,
700
,
00
0
,
0153
,
0
L
S
I
L
,
le
s
ión
int
r
a
epiteli
a
l
e
s
ca
mo
s
a
de
b
a
jo
g
r
a
do
;
H
S
I
L
,
le
s
ión
int
r
a
epiteli
a
l
e
s
ca
mo
s
a
de
a
lto
g
r
a
do
; V
B
,
v
ag
ino
s
i
s
b
ac
te
r
i
a
n
a
.
40
C
a
r
ac
te
r
i
z
ac
ión
de
l
a
mi
c
r
obiot
a
v
ag
in
a
l
en
muje
r
e
s
c
on
le
s
ione
s
p
r
odu
c
id
a
s
po
r
el
vi
r
u
s
del
p
a
pilom
a
hum
a
no
.
By
PC
2020;84(2):34
-
42
.
F
i
g
u
r
a
6
.
M
o
r
folo
g
í
a
de
L
ac
tob
ac
illu
s
s
pp
.
en
ob
s
e
r
v
ac
ión
en
l
a c
olo
r
ac
ión
de
Gr
a
m
(1000
X
)
.
L
.
c
r
i
s
p
a
tu
sL
.
jen
s
enii
L
.
ga
ss
e
r
i
trial
mue
s
t
r
a
n
m
ay
o
r
p
r
ev
a
len
c
i
a
de
c
oloni
z
ac
ión
po
r
L
a
c
toba
-
c
illu
s
s
pp
.
que
l
a
s
hi
s
p
á
ni
ca
s
y
de
r
a
z
a
ne
g
r
a [24
,
25]
.
E
l
de
s
b
a
l
a
n
c
e
de
l
a
mi
c
r
obiot
a
v
ag
in
a
l
s
e
r
e
c
ono
c
e
ca
d
a
ve
z
m
á
s
c
omo
un
impul
s
o
r
del
de
s
a
rr
ollo
on
c
o
g
éni
c
o
en
lo
s
s
e
r
e
s
hum
a
no
s
,
a
t
r
a
vé
s
de
un
a
v
a
r
ied
a
d
de
me
ca
ni
s
mo
s
que
in
c
lu
-
y
en
l
a
f
a
ll
a
de
l
a
b
a
rr
e
r
a
mu
c
o
s
a y
l
a
in
f
l
a
m
ac
ión
.
L
a
in
f
l
a
m
ac
ión
c
r
óni
ca
de
l
a
mu
c
o
s
a
t
a
mbién
s
e
c
on
s
ide
r
a
fund
a
ment
a
l
p
a
r
a
l
a ca
r
c
ino
g
éne
s
i
s
indu
c
id
a
po
r
V
PH
.
A
l
meno
s
hipotéti
ca
mente
,
e
s
to
puede
c
oin
c
idi
r
c
on
l
a
s
nume
r
o
s
a
s
fi
r
m
a
s
mole
c
ul
a
r
e
s
de
l
a
in
f
l
a
m
ac
ión
de
l
a
mu
c
o
s
a
de
p
ac
iente
s
infe
c
t
a
d
a
s
po
r
V
PH
.
E
l
cá
n
c
e
r
c
e
r
vi
ca
l
e
s
un
a
enfe
r
med
a
d
de
l
a
r
ga
d
a
t
a y
exi
s
ten
et
a
p
a
s
p
r
evi
a
s
a
ell
a
du
r
a
nte
l
a
s
c
u
a
le
s
l
a
s
c
ondi
c
ione
s
del
en
-
to
r
no
c
e
r
vi
ca
l
y
v
ag
in
a
l
s
e
modi
fica
n
,
c
omo
l
a ac
ide
z
v
ag
in
a
l
y
el
p
a
t
r
ón
de
c
itoquin
a
s
que
c
ondu
c
en
a
un
e
s
t
a
do
de
inmuno
-
s
up
r
e
s
ión
lo
ca
l
.
Po
r
ejemplo
,
l
a
infe
cc
ión
po
r
F
u
s
oba
c
t
e
r
ium
s
pp
.
pod
r
í
a
de
s
empeñ
a
r
un
p
a
pel
c
l
a
ve
en
el
de
s
a
rr
ollo
de
un
mi
c
r
o
a
mbiente
inmuno
s
up
r
e
s
o
r
ca
r
ac
te
r
i
z
a
do
po
r
c
itoquin
a
s
a
ntin
f
l
a
m
a
to
r
i
a
s
(
pe
r
fi
l
de
c
itoquin
a
s
T
h
2)
,
c
omo
I
L
-
4 y
TG
F
-
β
1
,
en
c
élul
a
s
del
c
uello
ute
r
ino
t
r
a
n
s
fo
r
m
a
d
a
s
po
r
V
PH
[26]
.
E
n
el
cá
n
c
e
r
c
e
r
vi
ca
l
l
a
p
r
e
s
en
c
i
a
de
c
itoquin
a
s
inmuno
s
u
-
p
r
e
s
o
r
a
s
(
TG
F
-
β
1
,
I
L
-
4
,
I
L
-
10)
f
a
vo
r
e
c
e
l
a
pe
r
s
i
s
ten
c
i
a
de
l
a
infe
cc
ión
po
r
V
PH
[27]
.
A
di
c
ion
a
lmente
,
s
e
h
a
p
r
opue
s
to
que
el
mi
c
r
o
a
mbiente
v
ag
in
a
l
y
el
pe
r
fi
l
de
c
itoquin
a
s
jue
ga
n
un
r
ol
en
l
a g
ene
r
ac
ión
de
l
a
di
s
pl
a
s
i
a c
e
r
vi
ca
l
[28]
.
A
s
imi
s
mo
,
t
a
mbién
s
e
debe
c
on
s
ide
r
a
r
l
a ca
u
s
a
inve
r
s
a
,
po
r
que
V
PH
t
a
mbién
puede
p
r
omove
r
el
de
s
a
rr
ollo
del
de
s
b
a
l
a
n
c
e
v
ag
in
a
l
y
mue
s
t
r
a
un
a
s
e
r
ie
de
me
ca
ni
s
mo
s
de
s
ilen
c
i
a
miento
y
ev
a
s
ión
inmunit
a
r
i
a
.
A
udi
r
ac y c
ol
.
[26]
demo
s
t
r
a
r
on
po
r
met
ag
enómi
ca
que
el
mi
-
c
r
obiom
a
v
ag
in
a
l
e
s
not
a
blemente
dife
r
ente
en
ca
d
a
un
a
de
l
a
s
et
a
p
a
s
de
l
a
infe
cc
ión
po
r
V
PH
.
L
a
s
p
ac
iente
s
c
on
ca
r
c
inom
a
c
e
r
vi
ca
l
mo
s
t
r
a
r
on
m
ay
o
r
p
r
edominio
de
mi
c
r
obiot
a a
n
a
e
r
obi
a
en
c
omp
a
r
ac
ión
c
on
lo
s
c
ont
r
ole
s
V
PH
ne
ga
tivo
s
,
quiene
s
p
r
e
-
s
ent
a
r
on
m
ay
o
r
p
r
edominio
de
mi
c
r
obiot
a
l
ac
tob
ac
il
a
r.
E
n
nue
s
t
r
o
e
s
tudio
,
l
a
s
p
ac
iente
s
c
on
H
S
I
L
p
r
e
s
ent
a
r
on
un
a
elev
a
d
a
p
r
ev
a
len
c
i
a
de
VB;
en
el
g
r
upo
1
de
58
,
3 % y
en
el
g
r
upo
2
de
43
,
2 %
.
Re
s
ult
a
do
s
s
imil
a
r
e
s
fue
r
on
de
s
c
r
ipto
s
po
r
G
illet
y c
ol
.
[10]
,
quiene
s
demo
s
t
r
a
r
on
que
l
a
p
r
ev
a
len
c
i
a
de
S
I
L
fue
s
upe
r
io
r
en
l
a
s
p
ac
iente
s
que
p
r
e
s
ent
a
r
on
BV
e
indi
ca
r
on
que
l
a
p
r
e
s
en
c
i
a
de
VB
in
c
r
ement
a
el
r
ie
s
g
o
de
H
S
I
L
a 1
,
51 (
IC
95%
1
,
24
-
1
,
83
p
<0
,
05)
,
indi
ca
ndo
un
a a
s
o
c
i
ac
ión
po
s
itiv
a
ent
r
e
l
a
s
do
s
c
ondi
c
ione
s
.
S
e
c
ono
c
e
que
l
a
p
r
oteín
a E5
e
s
fund
a
ment
a
l
p
a
r
a
l
a
r
epli
-
cac
ión
del
V
PH
,
s
in
emb
a
r
g
o
,
e
s
t
a
molé
c
ul
a
e
s
mu
y
s
en
s
ible
a
lo
s
ca
mbio
s
de
pH
.
E
n
un
medio
a
mbiente
de
pH
b
a
jo
p
r
omovido
po
r
el
ác
ido
l
ác
ti
c
o
,
puede
c
on
s
ide
r
a
r
s
e
fund
a
ment
a
lmente
p
r
o
-
te
c
to
r.
E
l
ác
ido
l
ác
ti
c
o
e
s
un
c
ompue
s
to
qui
r
a
l
c
on
un
i
s
óme
r
o
D,
p
r
odu
c
ido
p
r
edomin
a
ntemente
po
r
L
.
c
r
i
s
patu
s
,
L
.
j
en
s
en
ii
y
L
.
ga
ss
e
r
i
y
ot
r
o
i
s
óme
r
o
L
,
p
r
odu
c
ido
po
r
L
.
i
ne
r
s
,
el
epitelio
v
ag
i
-
n
a
l
p
e
r
s
e y
b
ac
te
r
i
a
s
a
n
a
e
r
obi
a
s
r
e
s
pon
s
a
ble
s
de
l
a
v
ag
ino
s
i
s
.
E
l
i
s
óme
r
o
D
p
r
odu
c
ido
po
r
L
.
c
r
i
s
patu
s
a
ument
a
l
a
vi
s
c
o
s
id
a
d
del
mo
c
o
c
e
r
vi
ca
l
,
lo
c
u
a
l
e
s
un
f
ac
to
r
de
p
r
ote
cc
ión
a
di
c
ion
a
l
[25]
.
E
n
nue
s
t
r
o
e
s
tudio
,
el
s
ub
g
r
upo
H
S
I
L
p
r
e
s
entó
meno
r
p
r
ev
a
len
c
i
a
de
L
.
c
r
i
s
patu
s
r
e
s
pe
c
to
del
c
ont
r
ol
,
en
c
oin
c
iden
c
i
a
c
on
lo
de
s
c
r
ipto
po
r
G
a
o
y c
ol
.
[5]
p
a
r
a
l
a
pobl
ac
ión
a
s
i
á
ti
ca y
po
r
D
a
r
en
g y c
ol
.
[29]
p
a
r
a
l
a
pobl
ac
ión
a
f
r
i
ca
n
a
.
E
n
nue
s
t
r
o
t
r
a
b
a
jo
,
en
c
ont
r
a
mo
s
en
el
H
S
I
L
un
a
di
s
minu
c
ión
de
l
a
p
r
ev
a
len
c
i
a
de
L
.
c
r
i
s
patu
s
(21
,
4 %) y
un
a a
lt
a
p
r
ev
a
len
c
i
a
de
L
.
j
en
s
en
ii
(46
,
2 %)
,
lo
c
u
a
l
p
r
edi
s
pond
r
í
a a
e
s
t
a
s
p
ac
iente
s
a
l
a
di
s
fun
c
ión
v
ag
in
a
l
.
E
s
to
s
r
e
s
ult
a
do
s
s
e
c
o
rr
e
s
ponden
c
on
lo
s
de
s
c
r
ipto
s
po
r
Cl
a
r
k
e
y c
ol
.
[30]
,
quiene
s
r
el
a
t
a
r
on
que
l
a
ele
-
v
ac
ión
del
pH
s
e
a
s
o
c
i
a
b
a c
on
un
m
ay
o
r
r
ie
s
g
o
de
infe
cc
ión
po
r
V
PH
,
d
a
do
que
s
e
ob
s
e
r
vó
que
L
.
c
r
i
s
patu
s
e
s
ca
p
a
z
de
ac
idi
fica
r
el
medio
v
ag
in
a
l
a
pH
meno
r
de
4
,
0
,
mient
r
a
s
que
ot
r
o
s
,
c
omo
L
.
ga
ss
e
r
i
,
a
l
ca
n
z
a
n
un
pH
m
á
s
elev
a
do
que
o
s
c
il
a
ent
r
e
4
,
4 y
5
,
0 [31]
.
Como
c
on
c
lu
s
ión
,
s
e
ob
s
e
r
vó
m
ay
o
r
de
s
b
a
l
a
n
c
e
de
l
a
mi
-
c
r
obiot
a
v
ag
in
a
l
en
l
a
s
p
ac
iente
s
c
on
le
s
ione
s
int
r
a
epiteli
a
le
s
e
s
ca
mo
s
a
s
que
en
lo
s
c
ont
r
ole
s
en
a
mbo
s
g
r
upo
s
et
a
r
io
s
e
s
tu
-
di
a
do
s
,
e
s
pe
c
i
a
lmente
,
en
el
g
r
upo
de
H
S
I
L
,
donde
s
e
en
c
ont
r
ó
un
a
b
a
j
a
p
r
ev
a
len
c
i
a
de
L
.
c
r
i
s
patu
s
(
e
s
pe
c
ie
p
r
ote
c
to
r
a) y
un
in
c
r
emento
de
L
.
j
en
s
en
ii
,
e
s
pe
c
ie
que
po
s
ee
un
meno
r
r
ol
p
r
o
-
te
c
to
r
de
l
a
di
s
fun
c
ión
v
ag
in
a
l
.
Po
r
lo
t
a
nto
,
e
s
impo
r
t
a
nte
ca
r
ac
-
te
r
i
z
a
r
l
a
s
e
s
pe
c
ie
s
de
L
a
c
toba
c
illu
s
,
d
a
do
que
el
in
c
r
emento
de
e
s
pe
c
ie
s
no
p
r
ote
c
to
r
a
s
,
en
c
on
c
o
r
d
a
n
c
i
a c
on
el
in
c
r
emento
de
VB
en
e
s
te
g
r
upo
de
p
ac
iente
s
,
a
lte
r
a
n
el
mi
c
r
o
a
mbiente
v
ag
in
a
l
y ac
tú
a
n
c
omo
poten
c
i
a
le
s
c
of
ac
to
r
e
s
en
l
a
pe
r
s
i
s
ten
c
i
a
de
un
a
infe
cc
ión
po
r
V
PH
e
in
c
r
ement
a
n
el
r
ie
s
g
o
de
a
dqui
r
i
r
ot
r
a
s
infe
c
-
c
ione
s
de
t
r
a
n
s
mi
s
ión
s
exu
a
l
.
By
PC
2020;84(2):34
-
42
.
C
a
r
ac
te
r
i
z
ac
ión
de
l
a
mi
c
r
obiot
a
v
ag
in
a
l
en
muje
r
e
s
c
on
le
s
ione
s
41
p
r
odu
c
id
a
s
po
r
el
trial
del
p
a
pilom
a
hum
a
no
.
Refe
r
en
c
ia
s
bibli
o
g
r
á
fic
a
s
[1]
.
Pet
r
i
c
evi
c
L
,
D
omi
g K
,
Nie
r
s
c
he
FJ
,
I
r
i
s
Ja
nit
s
c
he
k K
C
,
K
neifel
W
,
K
i
ss
H
.
Ch
a
r
ac
te
r
i
z
a
tion
of
the
o
r
a
l
,
v
ag
in
a
l
a
nd
r
e
c
t
a
l
L
ac
tob
ac
illu
s
f
l
o
r
a
in
he
a
lth
y
p
r
e
g
n
a
nt
a
nd
po
s
tme
-
nop
a
u
s
a
l
w
omen
.
E
u
r
J O
b
s
tet
G
y
ne
c
ol
Rep
r
od
B
iol
2012;
160: 93
–
9
.
[2]
.
Trial
S
,
Dr
iu
ss
i
S
,
D
e
Sa
nto
D,
Pen
acc
hioni
P
,
I
a
nni
c
elli
T,
L
a
n
z
a
f
a
me
P
e
t
al
.
P
r
ev
a
len
c
e
of
b
ac
te
r
i
a
l
v
ag
ino
s
i
s
a
nd
v
ag
in
a
l
f
l
o
r
a c
h
a
n
g
e
s
in
pe
r
i
-
a
nd
po
s
tmenop
a
u
s
a
l
w
o
-
men
.
J
Clin
M
i
c
r
obiol
2002; 40: 2147
–
52
.
[3]
.
L
a
mont
,
R
.,
S
obel
,
J
.,
Ak
in
s
,
R
.,
H
a
ss
a
n
,
S
.,
Ch
a
i
w
o
r
a
pon
g
-
s
a
,
T.,
K
u
s
a
novi
c
,
J
.
e
t
al
.
T
he
v
ag
in
a
l
mi
c
r
obiome
:
ne
w
in
-
fo
r
m
a
tion
a
bout
g
enit
a
l
t
r
ac
t
f
l
o
r
a
u
s
in
g
mole
c
ul
a
r
b
a
s
ed
te
c
hinique
s
.
BJO
G
2011; 118: 533
-
49
[4]
.
B
ehb
ak
ht
K
,
F
r
iedm
a
n
J
,
Heimle
r
I
,
A
r
out
c
hev
a A
,
S
imoe
s
J
,
Fa
r
o
S
.
Role
of
the
v
ag
in
a
l
mi
c
r
obiolo
g
i
ca
l
e
c
o
s
y
s
tem
a
nd
cy
to
k
ine
p
r
o
fi
le
in
the
p
r
omotion
of
c
e
r
vi
ca
l
d
y
s
pl
a
-
s
i
a: A ca
s
e
-
c
ont
r
ol
s
tud
y
.
Infe
c
t
D
i
s
O
b
s
tet
G
y
ne
c
ol
2002;
10:181
–
6
.
[5]
.
G
a
o
W
,
W
en
g J
,
G
a
o
Y
,
Chen
X
.
Comp
a
r
i
s
on
of
the
v
ag
in
a
l
mi
c
r
obiot
a
dive
r
s
it
y
of
w
omen
w
ith
a
nd
w
ithout
hum
a
n
p
a
pillom
a
vi
r
u
s
infe
c
tion
: a c
r
o
ss
-
s
e
c
tion
a
l
s
tud
y
.
BM
C
In
-
fe
c
t
D
i
s
2013; 13: 271
.
doi
: 10
.
1186/1471
-
2334
-
13
-
271
.
[6]
.
Ch
a
mpe
r
M
,
W
on
g AM
,
Ch
a
mpe
r
J
,
B
r
ito
I
L
,
M
e
ss
e
r
P
W
,
Hou
J
Y
,
W
r
i
g
ht
J
D.
T
he
r
ole
of
the
v
ag
in
a
l
mi
c
r
obiome
in
gy
n
a
e
c
olo
g
i
ca
l
ca
n
c
e
r.
BJO
G
2018 F
eb
;125:309
-
15
.
doi
:
10
.
1111/1471
-
0528
.
14631
.
[7]
.
S
ilv
a J
,
Ce
r
quei
r
a F
,
M
edei
r
o
s
R
.
Chl
a
m
y
di
a
t
r
ac
hom
a
ti
s
infe
c
tion
:
impli
ca
tion
s
fo
r
HP
V
s
t
a
tu
s
a
nd
c
e
r
vi
ca
l
ca
n
c
e
r.
A
r
c
h
G
y
ne
c
ol
O
b
s
tet
2014; 289: 715
-
23
.
doi
: 10
.
1007/
s
00404
-
013
-
3122
-
3
.
[8]
.
O
h
HY
,
K
im
BS
,
S
eo
SS
,
K
on
g JS
,
L
ee
JK
,
P
a
r
k S
Y
,
e
t
al
.
T
he
a
ss
o
c
i
a
tion
of
ute
r
ine
c
e
r
vi
ca
l
mi
c
r
obiot
a
w
ith
a
n
in
c
r
e
a
-
s
ed
r
i
s
k
fo
r
c
e
r
vi
ca
l
int
r
a
epitheli
a
l
neopl
a
s
i
a
in
K
o
r
e
a
.
Clin
M
i
c
r
obiol
Infe
c
t
2015; 21: 674
.
e
1
-
9
.
doi
: 10
.
1016/
j
.
c
mi
.
2015
.
02
.
026
.
[9]
.
S
eo
SS
,
O
h
HY
,
L
ee
JK
,
K
on
g JS
,
L
ee
D
O
,
K
im
MK
l
.
Combined
effe
c
t
of
diet
a
nd
c
e
r
vi
ca
l
mi
c
r
obiome
on
the
r
i
s
k
of
trial
-
ca
l
int
r
a
epitheli
a
l
neopl
a
s
i
a
.
Clin
Nut
r
2016; 35: 1434
-
41
.
doi
: 10
.
1016/
j
.
c
lnu
.
2016
.
03
.
019
.
[10]
.
G
illet
E
,
M
e
y
s
JF
,
V
e
r
s
t
r
a
elen
H
,
B
o
s
i
r
e
C
,
D
e
S
utte
r
P
,
T
em
-
me
r
m
a
n
M
,
e
t
al
.
Bac
te
r
i
a
l
v
ag
ino
s
i
s
i
s
a
ss
o
c
i
a
ted
w
ith
ute
r
ine
c
e
r
vi
ca
l
trial
p
a
pillom
a
vi
r
u
s
infe
c
tion
: a
met
a
-
a
n
a
l
y
s
i
s
.
BM
C
Infe
c
t
D
i
s
2011
,
11:10
.
doi
: 10
.
1186/1471
[11]
.
G
uo
Y
L
,
You
K
,
Q
i
a
o
J
,
Zh
a
o
Y
M
,
G
en
g
L
.
Bac
te
r
i
a
l
v
ag
ino
s
i
s
i
s
c
ondu
c
ive
to
the
pe
r
s
i
s
ten
c
e
of
HP
V
infe
c
tion
.
Int
J S
TD
A
I
D
S 2012; 23:581
–
4
.
[12]
.
V
r
iend
H
J
,
B
o
gaa
r
d
s
JA
,
v
a
n
B
e
r
g
en
JE
,
B
r
in
k AA
,
v
a
n
den
B
r
oe
k
I
V
,
Hoebe
C
J
,
e
t
al
.
In
c
iden
c
e
a
nd
pe
r
s
i
s
ten
c
e
of
ca
r
c
ino
g
eni
c g
enit
a
l
hum
a
n
p
a
pillom
a
vi
r
u
s
infe
c
tion
s
in
y
oun
g
w
omen
w
ith
o
r
w
ithout
Chl
a
m
y
di
a
t
r
ac
hom
a
ti
s
c
o
-
infe
c
tion
.
C
a
n
c
e
r
M
ed
2015; 4:1589
-
98
.
[13]
.
T
o
rr
e
s
-
Poved
a K
,
Ba
hen
a
-
Rom
á
n
M
,
Ma
d
r
id
-G
on
z
á
le
z
C
,
B
u
r
g
uete
-G
a
r
c
í
a A
I
,
B
e
r
múde
z
-
M
o
r
a
le
s
V
H
,
Pe
r
a
lt
a
-
Z
a
r
a
-
E
s
pe
c
ie
s
L
.
c
r
i
s
patu
s
(
n
=87)
123
0
72
L
.
ga
ss
e
r
i
(
n
=88)
61
1
80
L
.
j
en
s
en
ii
(
n
=74)
46
0
64
L
.
i
ne
r
s
(
n
=11)
02
0
9
L
.
v
agi
n
ali
s
(
n
=5)
01
0
4
L
.
s
ali
v
a
r
iu
s
(
n
=2)
00
0
2
L
.
f
e
r
m
en
tum
(
n
=1)
10
0
0
L
.
a
c
idophilu
s
(
n
=1)
00
0
1
L
.
pa
r
a
c
a
s
e
i
(
n
=1)
00
0
1
T
ot
a
l
2313
1
233
L
S
I
L
H
S
I
L
(
n
=23) (
n
=13)
C
a
r
c
inom
a
(
n
=1)
Cont
r
ol
(
n
=233)
T
abla
V
II.
D
i
s
t
r
ibu
c
ión
de
l
a
s
dife
r
ente
s
e
s
pe
c
ie
s
de
L
ac
tob
ac
illu
s
en
l
a
s
p
ac
iente
s
del
e
s
tudio
,
s
e
g
ún
tipo
de
le
s
ión
V
PH
r
el
ac
ion
a
d
a
.
L
S
I
L
,
le
s
ión
int
r
a
epiteli
a
l
e
s
ca
mo
s
a
de
b
a
jo
g
r
a
do
;
H
S
I
L
,
le
s
ión
int
r
a
epiteli
a
l
e
s
ca
mo
s
a
de
a
lto
g
r
a
do
.
42
C
a
r
ac
te
r
i
z
ac
ión
de
l
a
mi
c
r
obiot
a
v
ag
in
a
l
en
muje
r
e
s
c
on
le
s
ione
s
p
r
odu
c
id
a
s
po
r
el
vi
r
u
s
del
p
a
pilom
a
hum
a
no
.
By
PC
2020;84(2):34
-
42
.
g
o
z
a O
,
e
t
al
.
Role
of
I
L
-
10 a
nd
TG
F
-
β
1
in
lo
ca
l
immuno
-
s
upp
r
e
ss
ion
in
HP
V
-
a
ss
o
c
i
a
ted
c
e
r
vi
ca
l
neopl
a
s
i
a
.
W
o
r
ld
J
Clini
ca
l
O
n
c
olo
gy 2014; 5:753
–
63
[14]
.
F
r
idm
a
n
W
H
,
Zitvo
g
el
L
,
Sa
utè
s
-
F
r
idm
a
n
C
,
K
r
oeme
r
G.
T
he
immune
c
ontextu
r
e
in
ca
n
c
e
r
p
r
o
g
no
s
i
s
a
nd
t
r
e
a
tment
.
N
a
t
Rev
Clin
O
n
c
ol
2017; 14: 717
-
34
.
doi
: 10
.
1038/
n
r
c
li
-
non
c
.
2017
.
101
[15]
.
B
o
r
n
s
tein
J
,
B
entle
y J
,
B
ö
sz
e
P
,
G
i
r
a
r
di
F
,
H
a
efne
r
H
,
M
en
-
ton
M
,
e
t
al
.
2011 c
olpo
s
c
opi
c
te
r
minolo
gy
of
the
Inte
r
n
a
-
tion
a
l
F
ede
r
a
tion
fo
r
Ce
r
vi
ca
l
P
a
tholo
gy a
nd
Colpo
s
c
op
y
.
O
b
s
tet
G
y
ne
c
ol
2012 J
ul
;120(1):166
-
72
.
[16]
.
S
olomon
D,
N
aya
r
R
.
E
l
s
i
s
tem
a B
ethe
s
d
a
p
a
r
a
info
r
m
a
r
c
itolo
g
í
a c
e
r
vi
ca
l
.
1°
ed
.
B
ueno
s
A
i
r
e
s
; E
di
c
ione
s
J
ou
r
n
a
l
;
2005
[17]
.
D
a
rr
ag
h
T
M
,
Col
ga
n
T
J
,
Cox
J
T,
Helle
r
D
S
,
Hen
r
y M
R
,
L
uff
R
D,
e
t
al
; M
embe
r
s
of
L
AS
T
P
r
oje
c
t
W
o
r
k
Gr
oup
s
.
T
he
L
o
w
e
r
A
no
g
enit
a
l
S
qu
a
mou
s
T
e
r
minolo
gy S
t
a
nd
a
r
di
z
a
-
tion
P
r
oje
c
t
fo
r
HP
V
-
A
ss
o
c
i
a
ted
L
e
s
ion
s
:
b
ackg
r
ound
a
nd
c
on
s
en
s
u
s
r
e
c
ommend
a
tion
s
f
r
om
the
Colle
g
e
of
A
me
-
r
i
ca
n
P
a
tholo
g
i
s
t
s
a
nd
the
A
me
r
i
ca
n
S
o
c
iet
y
fo
r
Colpo
s
-
c
op
y a
nd
Ce
r
vi
ca
l
P
a
tholo
gy
.
A
r
c
h
P
a
thol
L
a
b
M
ed
2012
Oc
t
;136(10):1266
-
97
.
[18]
.
Po
c
h
F
,
L
evin
D,
L
evin
S
,
D
a
n
M
.
M
odi
fi
ed
thio
g
l
yc
ol
a
te
mé
-
dium
: a
s
imple
a
nd
r
eli
a
ble
me
a
n
s
fo
r
dete
c
tion
of
Tr
i
c
ho
-
mo
n
a
s
v
agi
n
ali
s
.
J
Clin
M
i
c
r
obiol
1996; 34: 2630
-
1
.
[19]
.
Pe
r
a
zz
i
B
,
M
en
g
hi
C
,
Coppolillo
E
,
Trial
C
,
Co
r
a E
li
s
eth
M
,
de
T
o
rr
e
s
R
A e
t
al
.
P
r
ev
a
len
c
e
a
nd
c
omp
a
r
i
s
on
of
di
ag
no
s
ti
c
method
s
fo
r
Tr
i
c
homo
n
a
s
v
agi
n
ali
s
infe
c
tion
in
p
r
e
g
n
a
nt
w
omen
in
A
r
g
entin
a
.
K
o
r
e
a
n
J
P
a
r
a
s
itol
2010; 1: 61
-
5
.
[20]
.
Nu
g
ent
RP
,
K
r
ohn
MA
,
Hillie
r
S
L
.
Reli
a
bilit
y
of
di
ag
no
s
in
g
b
ac
te
r
i
a
l
v
ag
ino
s
i
s
i
s
imp
r
oved
b
y a
s
t
a
nd
a
r
di
z
ed
method
of
Gr
a
m
s
t
a
in
inte
r
p
r
et
a
tion
.
J
Clin
M
i
c
r
obiol
1991; 29:
279
-
301
.
[21]
.
P
r
o
y
e
c
to
BA
C
OVA
,
P
r
o
g
r
a
m
a
PR
OSA
R
,
F
und
ac
ión
B
ioquí
-
mi
ca A
r
g
entin
a
.
Ma
nu
a
l
de
P
r
o
c
edimiento
s
BA
C
OVA 2018
.
D
i
s
ponible
en
:
http
://
www.
fb
a
.
o
r
g
.
a
r
/
PR
OSA
R
[22]
.
J
o
r
g
en
s
en
J
H
,
Pf
a
lle
r
MA
,
C
a
rr
ol
K
C
,
F
un
k
e
G,
L
a
nd
r
y M
L
,
Ri
c
hte
r
SS
,
Wa
r
no
ck
D
W
,
edito
r
s
.
Ma
nu
a
l
of
Clini
ca
l
M
i
c
r
o
-
biolo
gy
.
11
th
edition
.
Wa
s
hin
g
ton
D
C
,
ASM
P
r
e
ss
,
2015
.
[23]
.
Ka
r
a
s
M
,
K
r
g
e
r
R
.
Ion
F
o
r
m
a
tion
in
MA
L
D
I
:
T
he
Clu
s
te
r
Ioni
z
a
tion
M
e
c
h
a
ni
s
m
.
Chemi
ca
l
Revie
w
s
2003; 103:
427440
.
D
oi
: 10
.
1021/c
r
010376a
.
[24]
.
P
a
vlov
a S
I
,
K
ili
c AO
,
K
ili
c SS
,
SO JS
,
N
a
de
r-
Mac
i
a
s
ME
,
S
i
-
moe
s
JA
,
e
t
al
.
G
eneti
c
dive
r
s
it
y
of
v
ag
in
a
l
l
ac
tob
ac
illi
f
r
om
w
omen
in
diffe
r
ent
c
ount
r
ie
s
on
16S
r
RN
A g
ene
s
equen
-
c
e
s
.
J A
ppl
M
i
c
r
obiol
2002; 92:451
-
9
.
[25]
.
M
it
r
a A
,
Mac
Int
y
r
e
D
A
,
Ma
r
c
he
s
i
J
R
,
L
ee
Y
S
,
B
ennett
PR
,
Ky
r
g
iou
M
.
T
he
v
ag
in
a
l
mi
c
r
obiot
a
,
hum
a
n
p
a
pillom
a
vi
r
u
s
infe
c
tion
a
nd
c
e
r
vi
ca
l
int
r
a
epitheli
a
l
neopl
a
s
i
a:
w
h
a
t
do
w
e
k
no
w
a
nd
w
he
r
e
a
r
e
w
e
g
oin
g
next
?
M
i
c
r
obiome
2016
1; 4:58
.
[26]
.
A
udi
r
ac
-
Ch
a
lifou
r
A
,
T
o
rr
e
s
-
Poved
a K
,
Ba
hen
a
-
Rom
á
n
M
,
T
élle
z
-
S
o
s
a J
,
Ma
r
tíne
z
Ba
r
net
c
he
J
,
Co
r
tin
a
-
Ceb
a
llo
s
B
,
e
t
al
.
Ce
r
vi
ca
l
mi
c
r
obiome
a
nd
cy
to
k
ine
p
r
o
fi
le
a
t
v
a
r
iou
s
s
t
ag
e
s
of
c
e
r
vi
ca
l
ca
n
c
e
r
: A
Pilot
s
tud
y
.
P
L
o
S O
Ne
(2016)
1:
e
0153274
.
doi
:10
.
1371/
jou
r
n
a
l
.
pone
.
0153274
[27]
.
B
e
r
múde
z
-
M
o
r
a
le
s
V
H
,
B
u
r
g
uete
A
I
,
G
utie
rr
e
z
M
L
,
A
l
c
o
c
e
r-
G
on
z
á
le
z
JM
,
Ma
d
r
id
-
Ma
r
in
a V
.
Co
rr
el
a
tion
bet
w
een
I
L
-
10
exp
r
e
ss
ion
a
nd
Hum
a
n
P
a
pillom
a
vi
r
u
s
infe
c
tion
in
c
e
r
vi
-
ca
l
ca
n
c
e
r.
A
me
c
h
a
ni
s
m
fo
r
immune
r
e
s
pon
s
e
e
s
ca
pe
.
C
a
n
c
e
r
Inve
s
ti
g 2008; 26:1037
–
43
.
[28]
.
B
ehb
ak
ht
K
,
F
r
iedm
a
n
J
,
Heimle
r
I
,
A
r
out
c
hev
a A
,
S
imoe
s
J
,
Fa
r
o
S
.
Role
of
the
v
ag
in
a
l
mi
c
r
obiolo
g
i
ca
l
e
c
o
s
y
s
tem
a
nd
cy
to
k
ine
p
r
o
fi
le
in
the
p
r
omotion
of
c
e
r
vi
ca
l
d
y
s
pl
a
-
s
i
a: A ca
s
e
-
c
ont
r
ol
s
tud
y
.
Infe
c
t
D
i
s
O
b
s
tet
G
y
ne
c
ol
2002;
10:181
–
6
.
[29]
.
D
a
r
en
g EO
,
Ma B
,
Fa
mooto
AO
,
Aka
r
olo
-
A
nthon
y S
N
,
O
f
fi
on
g
R
A
,
O
l
a
ni
ya
n
O
,
e
t
al
.
P
r
ev
a
lent
hi
g
h
-r
i
s
k
HP
V
infe
c
tion
a
nd
v
ag
in
a
l
mi
c
r
obiot
a
in
Ni
g
e
r
i
a
n
w
omen
.
E
pidemiol
Infe
c
t
2016; 144: 123
-
37
[30]
.
Cl
a
r
k
e
MA
,
Rod
r
i
g
ue
z
A
C
,
G
ag
e
J
C
,
He
rr
e
r
o
R
,
Hilde
s
heim
A
,
Wac
holde
r
S
,
e
t
al
.
A
l
a
r
g
e
,
popul
a
tion
-
b
a
s
ed
s
tud
y
of
ag
e
-r
el
a
ted
a
ss
o
c
i
a
tion
s
bet
w
een
v
ag
in
a
l
pH
a
nd
hum
a
n
p
a
pillom
a
vi
r
u
s
infe
c
tion
.
BM
C
Infe
c
t
D
i
s
2012; 12:33
.
doi
:
10
.
1186/1471
-
2334
-
12
-
33
.
[31]
.
R
a
vel
J
,
G
a
je
r
P
,
A
bdo
Z
,
Sc
hneide
r
G
M
,
K
oeni
g SS
,
Mc
Culle
S
L
,
e
t
al
.
Vag
in
a
l
mi
c
r
obiome
of
r
ep
r
odu
c
tive
-
ag
e
w
omen
.
P
r
o
c
N
a
tl
Aca
d
Sc
i
U S A
.
2011; 108 S
uppl
1:4680
-
7
.